Skip to main content
Cervical Thoracic Lumbosacral MRI

El empiema epidural espinal (EEE) multinivel es una infección rara y grave de la columna vertebral con alta tasa de morbimortalidad. Si bien los abscesos o empiemas de un sector de la columna están bien estudiados, esta patología sorprende por su rareza, reto diagnóstico y terapéutico. Se destaca por ser más frecuente en la edad adulta, en el sexo masculino y se ve asociada a patologías predisponentes.
El agente bacteriológico responsable en la mayoría de los casos es el Staphylococcus aureus. El tratamiento precoz es fundamental y está basado en dos pilares: antibioticoterapia y quirúrgico descompresivo Presentamos dos casos clínicos con afectación multinivel que evolucionaron favorablemente tanto en lo infeccioso como en lo neurológico sin provocar una inestabilidad del raquis y realizamos revisión bibliográfica del tema. Nivel de Evidencia IV; Estudio de Caso-control.

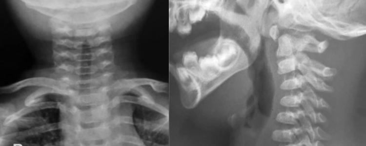
Radiografía de columna cervical frente y perfl

Se presenta un caso poco frecuente de espondilolisis cervical de C2, en un lactante de 1año y 7 meses de edad. Con el objetivo de mostrar las difcultades diagnósticas y terapéuticas, conociendo aquellos signos radiológicos que permiten identifcar esta infrecuente patología así como el algoritmo diagnóstico. Se optó por un tratamiento conservador con collarete, y se controló de forma regular obteniendo una muy buena evolución.

December 2023
Prótesis de disco cervical Baguera C

Resumen: Evaluamos los resultados clínicos y radiológicos con seguimiento mínimo de 2 años en pacientes intervenidos con prótesis de disco cervical. Se trata del primer estudio de prótesis de disco cervical en Uruguay con el único implante disponible en nuestro medio.

December 2022

Resumen: el síndrome de cola de caballo (SCC) es  una entidad poco frecuente, provocado por la compresión de las raíces nerviosas en el canal a nivel de la cola de caballo. Puede dejar graves secuelas si no es diagnosticado y tratado de forma precoz. Únicamente 2% a 6% de las hernias discales lumbares van a provocar un SCC. El diagnóstico de esta patología se basa en criterios clínicos, siendo éstos objeto de controversia dada la variabilidad de presentación del cuadro clínico. El objetivo de este trabajo es analizar la presentación clínica y evolución posoperatoria de los pacientes intervenidos por SCC secundaria a hernia de disco por equipo del Centro de Deformidades de Columna (CE.DEF.CO), entre enero de 2009 y diciembre de 2018.

Texto completo: https://revista.rmu.org.uy/ojsrmu311/index.php/rmu/article/view/643

November 2021

Resumen: La tendinitis calcificante del músculo largo del cuello es una patología subdiagnosticada, de baja frecuencia, autolimitada. Sepresenta clínicamente como una de las causas de odinofagia en la consulta médica. Se produce debido al depósito de cristales de hidroxiapatita en espacio retrofaríngeo, desencadenándose una respuesta inflamatoria local.En la TMLC el principal diagnósticodiferencial es el absceso retrofaríngeo, ya que puede presentarse clínicamente con odinofagia, disfagia, disminución de la movilidad del cuello y cervicalgia. En nuestro trabajo se analiza un caso clínico sobre dicha patología, en un hombre de 45 años; realizando un análisis de la sintomatología, diagnóstico y tratamiento de esta entidad.

Texto completo: https://revistas.udelar.edu.uy/OJS/index.php/anfamed/article/view/467

November 2021

Resumen: En las últimas tres décadas han habido grandes avances en el tratamiento quirúrgico de las escoliosis idiopática del adolescente. Existen pocos trabajos que estudien el resultado clínico y radiográfico a largo plazo en las EIA intervenidas con tornillos pediculares que además contemplen repercusión psicológica.

Texto completo: https://www.scielo.br/j/coluna/a/FLS7BDwNFF497tb6TGCwhRN/abstract/?lang=es

November 2021

Resumen: Se presentan dos casos de lumbalgia febril, producida por artritis séptica de las facetas articulares vertebrales, secundaria a infección extravertebral y sepsis. Por su rareza es una afección que frecuentemente pasa desapercibida, si no se piensa en ella, y de no ser tratada en tiempo y forma puede dejar secuelas graves. La conducta puede variar según la fase de su diagnostico, puede responder solo a antibioticoterapia adecuada y/o puede ser necesario asociarle drenaje quirúrgico.

 

Resumen: Introducción: Evaluar los resultados clínico en pacientes portadores de mielopatía cervical espondilótica intervenidos quirúrgicamente en nuestro servicio mediante laminoplastia open door.
Materiales y métodos: Realizamos un análisis retrospectivo de los pacientes intervenidos por mielopatía cervical espondilótica mediante laminoplastia entre 2010 y 2017. De los 102 pacientes intervenidos perdimos 18 casos o los datos fueron insuficientes. De los 84 casos 58 son masculinos. La media de edad fue de 63 años de los cuales se valoró: asociación de polo lumbar, tiempo entre sintomatología y cirugía, balance sagital, mielomalacia y resultados clínicos mediante la escala de Nurick y el JOA (Japanese Association of Orthopedics) modificado.
Resultados: El área más frecuente de laminoplastia fue de C3-C6 (83%). El promedio del JOA preoperatorio fue de 12,1 y postoperatorio a los 6 meses de 14,8, obteniendo una tasa de recuperación mediante el método del Hirabayasi de 81%. El Nurick preoperatorio promedio fue de 2 y a los 6 meses de 1.1. Cuarenta y dos pacientes (50%) presentaban en la RMN hiperintensidad de señal medular en T2. La tasa de recuperación del JOA y Nurick fue significativamente mayor en pacientes intervenidos a menos de 12 meses de inicio de sintomatología. Notamos una alta incidencia de sufrimiento bipolar (48%). No hubo complicaciones mayores, 2 presentaron paresia transitoria de C5, 1 paciente presento seroma que requirió drenaje superficial y 4 presentaron dolor axial leve que no tenían previo a la cirugía.
Conclusiones: En nuestra experiencia la laminoplastia open door es una técnica con muy buenos resultados clínicos y con baja incidencia de complicaciones para el tratamiento de la mielopatía cervical espondilótica. Notamos una asociación significativa entre la tasa de recuperación del JOA y el periodo entre sintomatología y cirugía. Por otro lado, no encontramos asociación significativa entre el resultado clínico y el número de espacios liberados así como la presencia de  alteraciones de señal medular.

Resumen: Presentaremos una revisión bibliográfica sobre luxo-fracturas cervicales en los niños y la discusión de un caso clínico. Patología poco frecuente, pero muy importante a la hora del diagnóstico, tratamiento y posibles secuelas que se pueden presentar. Mostraremos un caso clínico de una paciente de sexo femenino de 10 años que presentó una luxo-fractura de C3-C4, a la que se le  realizó una reducción abierta y una artrodesis C3-C4.

imagen

ABSTRACT:

Objective: to describe the clinical value of radio guided surgery of osteoid osteoma lesions. Osteoid osteoma of the spine is usually located in the posterior vertebral arch..

December 2019
imagen

La espondilolisis cervical se define como una hendidura del istmo vertebral o espacio existente entre las faceta superior e inferior de los pilares articulares. Mientras que a nivel lumbar se ha descrito en el 5% o 6%de la población mundial a nivel cervical se considera una anomalía rara, con menos de 100 casos publicados hasta la fecha.

December 2019

INTRODUCCIÓN: Evaluar los resultados clínico en pacientes portadores de mielopatía cervical espondilótica intervenidos quirúrgicamente en nuestro servicio mediante laminoplastia open door.

Fuente: http://www.anfamed.edu.uy/index.php/rev/article/view/364

ABSTRACT: We will present a literature review of the vertebral location of hydatidosis. It is a rare, locally aggressive condition with a high recurrence rate that requires clinical treatment (antihelminthic drugs) and surgery, with decompression of the spinal canal. We report a case with more than 11 years of follow-up, which required surgical treatment on 4 occasions. Level of Evidence V; Therapeutic-investigational study of treatment results.

Fuente: http://www.scielo.br/scielo.php?script=sci_arttext&pid=S1808-18512018000400326&lng=en&tlng=en

January 2018

ABSTRACT: We will present a literature review of the vertebral location of hydatidosis. It is a rare, locally aggressive condition with a high recurrence rate that requires clinical treatment (antihelminthic drugs) and surgery, with decompression of the spinal canal. We report a case with more than 11 years of follow-up, which required surgical treatment on 4 occasions. Level of Evidence V; Therapeutic-investigational study of treatment results.

Texto completo: http://www.scielo.br/scielo.php?script=sci_arttext&pid=S1808-18512018000400326&lng=en&tlng=en

ABSTRACT: We present a case of a 73-year-old male patient with progressive dysphagia, and hoarseness (irritability in the throat). He was studied with the appropriate imaging techniques, and esophagoscopy led to a diagnosis of extrinsic esophageal dysphagia for osteophyte obstruction of the cervical spine due to the arthrosis. A surgical resection was performed, without complications. Some considerations are given on this theme.

Full article: http://www.scielo.br/scielo.php?script=sci_arttext&pid=S1808-18512014000200150&lng=en&tlng=en

RESUMEN: Se presenta un caso de un paciente de 73 años de edad, con historia de disfagia progresiva, a la cual se agregó carraspera (irritación en la garganta). Luego de estudiado con imagenologia adecuada, y estudio esofagoscopico se estableció el diagnostico de disfagia extrínseca compresiva por osteofito artrosico corporal cervical. Se realizó la resección quirúrgica sin complicaciones. Se hacen algunas consideraciones sobre el tema.

Texto completo: http://www.scielo.br/scielo.php?script=sci_arttext&pid=S1808-18512014000200150&lng=en&tlng=en

 

January 2014

Categorías

Suscribirse a la lista de información médica

Recibirá noticias relacionadas a casos de traumatología y ortopedia, innovaciones y eventos de formación y capacitación a nivel nacional y regional.