Skip to main content

Empiema Epidural Espinal Multinivel: serie de casos clínicos y revisión bibliográfica

El empiema epidural espinal (EEE) multinivel es una infección rara y grave de la columna vertebral con alta tasa de morbimortalidad. Si bien los abscesos o empiemas de un sector de la columna están bien estudiados, esta patología sorprende por su rareza, reto diagnóstico y terapéutico. Se destaca por ser más frecuente en la edad adulta, en el sexo masculino y se ve asociada a patologías predisponentes.

Espondilolisis cervical de C2 - Caso clínico y revisión bibliográfica

Se presenta un caso poco frecuente de espondilolisis cervical de C2, en un lactante de 1año y 7 meses de edad. Con el objetivo de mostrar las difcultades diagnósticas y terapéuticas, conociendo aquellos signos radiológicos que permiten identifcar esta infrecuente patología así como el algoritmo diagnóstico. Se optó por un tratamiento conservador con collarete, y se controló de forma regular obteniendo una muy buena evolución.

Seguimiento a largo plazo de EIA intervenida quirúrgicamente con tornillos pediculares

Resumen: En las últimas tres décadas han habido grandes avances en el tratamiento quirúrgico de las escoliosis idiopática del adolescente. Existen pocos trabajos que estudien el resultado clínico y radiográfico a largo plazo en las EIA intervenidas con tornillos pediculares que además contemplen repercusión psicológica.

Texto completo: https://www.scielo.br/j/coluna/a/FLS7BDwNFF497tb6TGCwhRN/abstract/?lang=es

Tendinitis calcificante del músculo largo del cuello: presentación de un caso clínico

Resumen: La tendinitis calcificante del músculo largo del cuello es una patología subdiagnosticada, de baja frecuencia, autolimitada. Sepresenta clínicamente como una de las causas de odinofagia en la consulta médica. Se produce debido al depósito de cristales de hidroxiapatita en espacio retrofaríngeo, desencadenándose una respuesta inflamatoria local.En la TMLC el principal diagnósticodiferencial es el absceso retrofaríngeo, ya que puede presentarse clínicamente con odinofagia, disfagia, disminución de la movilidad del cuello y cervicalgia.

Síndrome de cola de caballo secundario a hernia discal

Resumen: el síndrome de cola de caballo (SCC) es  una entidad poco frecuente, provocado por la compresión de las raíces nerviosas en el canal a nivel de la cola de caballo. Puede dejar graves secuelas si no es diagnosticado y tratado de forma precoz. Únicamente 2% a 6% de las hernias discales lumbares van a provocar un SCC. El diagnóstico de esta patología se basa en criterios clínicos, siendo éstos objeto de controversia dada la variabilidad de presentación del cuadro clínico.

Luxofractura cervical en niños: revisión bibliográfica y presentación de un caso clínico

Resumen: Presentaremos una revisión bibliográfica sobre luxo-fracturas cervicales en los niños y la discusión de un caso clínico. Patología poco frecuente, pero muy importante a la hora del diagnóstico, tratamiento y posibles secuelas que se pueden presentar. Mostraremos un caso clínico de una paciente de sexo femenino de 10 años que presentó una luxo-fractura de C3-C4, a la que se le  realizó una reducción abierta y una artrodesis C3-C4.

Artritis séptica facetaria lumbar

Resumen: Se presentan dos casos de lumbalgia febril, producida por artritis séptica de las facetas articulares vertebrales, secundaria a infección extravertebral y sepsis. Por su rareza es una afección que frecuentemente pasa desapercibida, si no se piensa en ella, y de no ser tratada en tiempo y forma puede dejar secuelas graves. La conducta puede variar según la fase de su diagnostico, puede responder solo a antibioticoterapia adecuada y/o puede ser necesario asociarle drenaje quirúrgico.

 

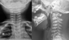
Disfagia producida por osteofito de columna cervical

Submitted by admin-esq on Tue, 06/09/2020 - 20:56

RESUMEN: Se presenta un caso de un paciente de 73 años de edad, con historia de disfagia progresiva, a la cual se agregó carraspera (irritación en la garganta). Luego de estudiado con imagenologia adecuada, y estudio esofagoscopico se estableció el diagnostico de disfagia extrínseca compresiva por osteofito artrosico corporal cervical. Se realizó la resección quirúrgica sin complicaciones. Se hacen algunas consideraciones sobre el tema.

Subscribe to